Traitement de l’hallux valgus et chirurgie mini-invasive du pied
Le site présente également les principes de la chirurgie mini-invasive du pied lorsqu’un hallux valgus devient douloureux, évolutif ou difficile à chausser, avec des repères concrets sur la préparation à l’intervention et la convalescence.
Retrouvez enfin des explications pratiques sur les consultations, les indications opératoires, les suites postopératoires et la prise en charge proposée par le Dr Richard Borgi.
Maison de santé pluridisciplinaire
5 promenade des Champs Plaisants, 89100 SENS
03 58 38 50 48
3C : Centre de Consultations Chirurgicales
7 Av De La Fontaine Ste Marguerite, 89000 AUXERRE
06 34 40 62 29
Qualifié en Chirurgie Orthopédique depuis une trentaine d’années, le Dr R. Borgi pratique essentiellement la chirurgie de la cheville et du pied depuis plus de quinze ans. Il a publié plusieurs articles et de nombreux ouvrages dont l’un a été préfacé par le Pr R. Merle d’Aubigné et l’autre par le Dr J. Judet
- C.E.S : Certificat d’Etudes Spéciales en Médecine et Biologie du Sport et Cinésiologie
- C.E.Supérieures : Certificat d’Etudes Supérieures de Biomécanique de l’Appareil locomoteur et de Kinésiologie
- Ouvrages du Dr. Richard Borgi
Les pathologies du pied et de la cheville les plus fréquentes incluent l’hallux valgus, les griffes des orteils, la fasciite plantaire ou le quintus varus. Elles peuvent entraîner des douleurs, des déformations, une gêne au chaussage et des difficultés à marcher.
Le traitement de l’hallux valgus et des autres pathologies dépend du stade de la déformation, des symptômes et de l’examen clinique. Découvrez les causes, les signes à surveiller et les solutions adaptées.
Pathologies
les plus fréquentes
Cette affection s’appelle communément les « Oignons ». C’est douloureux, le chaussage devient difficile et les chaussures deviennent progressivement insupportables.
C’est une affection du 5e orteil. Elle se manifeste par une douleur et/ou une raideur avec formation d’une épaisseur cutanée, un « cor ».
Il s’agit d’une déformation qui touche un ou plusieurs orteils. Elle débute généralement sous une forme souple et réductible, mais évolue progressivement vers une rigidité irréductible, entraînant douleurs et gêne à la marche.
C’est une déformation convexe de la ligne des têtes métatarsiennes, faisant porter l’appui lors de la marche, sur les têtes métatarsiennes moyennes.

Affection plus fréquente chez l’homme. Elle se manifeste par une douleur et/ou une raideur du gros orteil. Elle peut parfois entraîner une boiterie et une difficulté au chaussage. La chaussure devenant pénible à supporter et causant des frottements au contact de l’os.

C’est la formation d’une tuméfaction de 4 à 8 mm de diamètre d’origine neurologique, à partir d’un nerf plantaire interdigital siégeant dans l’espace métatarsien. D’origine mécanique, le névrome est favorisé par un chaussage serré, il est plus fréquent chez la femme, il peut régresser spontanément.

C’est le plus gros et le plus long tendon de l’organisme. Indispensable lors de la marche, il a un effet de propulsion et pour cela il doit être très puissant. Appelé aussi tendon calcanéen, il prolonge le muscle du mollet et s’insère sur le calcanéum. Il «ponte» deux articulations : le genou et la cheville. Il réunit le muscle tricipital au talon.

Il s’agit d’un acte chirurgical réalisé par voie percutanée, à l’aide de 2 à 3 petites incisions punctiformes. Cette technique utilise un objectif et une caméra pour visualiser les différents compartiments articulaires, permettant ainsi une exploration méthodique. Elle offre à la fois une confirmation diagnostique précise et la possibilité de réaliser des gestes thérapeutiques ciblés.

C’est une plaie que fait un fragment d’ongle qui pénètre dans la peau qui l’entoure et qui est plus ou moins inflammatoire et plus ou moins infecté et se manifeste par une rougeur, une douleur et un écoulement plus ou moins séreux et purulent. Cela concerne le plus souvent l’ongle du gros orteil. L’incarnation pouvant être latérale ou antérieure.

C’est un pied dont l’empreinte est élargie. Cliniquement, l’arche interne est moins marquée, voire inexistante. Le bilan radiographique montre des axes normaux et dans certains cas avancés on retrouve sur le profil, une rupture de l’alignement des os du premier rayon avec le talus, le 1er cunéiforme et l’os naviculaire avec un effondrement vers le bas de la ligne.
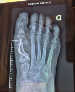
Traitement de l’hallux valgus par chirurgie mini-invasive du pied
La chirurgie mini-invasive et percutanée du pied est une technique moderne utilisée notamment dans le traitement de l’hallux valgus, aussi appelé « oignon du pied ». Elle repose sur de petites incisions, généralement limitées à quelques millimètres ou 1 à 2 cm, afin de corriger certaines déformations de l’avant-pied sans recourir à de larges ouvertures.
Dans le cadre du traitement de l’hallux valgus, le chirurgien utilise des instruments spécifiques, conçus pour travailler avec précision à travers ces incisions réduites. Comme l’intervention se fait sans exposition complète des structures, chaque geste est contrôlé en temps réel grâce à un amplificateur de brillance, une radiographie dynamique permettant de visualiser la correction osseuse pendant l’opération.
Cette approche vise à réaligner le gros orteil, réduire la douleur, améliorer le chaussage et limiter l’agression des tissus, lorsque l’indication chirurgicale est adaptée.
Qu’est ce que la chirurgie mini-invasive du pied?
La chirurgie mini-invasive du pied est une technique chirurgicale moderne qui permet de traiter certaines pathologies de l’avant-pied à l’aide de petites incisions. Elle est notamment utilisée dans le traitement de l’hallux valgus, aussi appelé « oignon du pied ».
Contrairement à une chirurgie classique, qui nécessite des ouvertures plus larges, la chirurgie mini-invasive repose sur des gestes précis réalisés avec des instruments spécifiques. Le chirurgien travaille sous contrôle radiologique en temps réel, afin de corriger la déformation tout en limitant l’agression des tissus.
Cette technique peut présenter plusieurs avantages pour le patient :
- des incisions plus petites ;
- des cicatrices plus discrètes ;
- moins de décollement des tissus ;
- une récupération souvent plus rapide ;
- une reprise progressive de la marche ;
- une diminution possible des douleurs post-opératoires.
Dans le cadre du traitement de l’hallux valgus, l’objectif est de réaligner le gros orteil, de corriger la déformation osseuse et d’améliorer le chaussage. L’indication dépend toujours de l’examen clinique, des radiographies et de la gêne ressentie par le patient.
Chez les patients présentant une déformation de l’avant-pied, notamment un hallux valgus, avec douleurs, gêne au chaussage ou difficulté à marcher.
Le traitement de l’hallux valgus par chirurgie mini-invasive peut être envisagé chez les patients jeunes comme chez les patients plus âgés, selon l’importance de la déformation, l’état de santé général et les attentes fonctionnelles.
Par un chirurgien orthopédiste spécialisé dans la chirurgie du pied et formé aux techniques mini-invasives et percutanées.
L’expérience du chirurgien est essentielle pour adapter le geste au type de déformation et choisir le traitement de l’hallux valgus le plus approprié.
Dans un environnement chirurgical adapté, avec des instruments spécifiques et un contrôle radiologique en temps réel.
Cette technique permet de réaliser des gestes précis à travers de petites incisions, afin de corriger la déformation, soulager la douleur et améliorer la marche.
Matériel dedié à la chirurgie mini-invasive du pied
En savoir plus...

Hallux valgus sévère : ostéotomie bifocale percutanée
Hallux valgus sévère : ostéotomie bifocale percutanée L’hallux valgus est l’une des déformations les plus fréquentes de l’avant‑pied. Elle se caractérise par une déviation progressive du gros orteil vers l’extérieur, associée à un déplacement du premier métatarsien vers l’intérieur. Avec le temps, cette modification de l’alignement du pied peut entraîner

Chirurgie percutanée dans les reprises d’hallux valgus
L’hallux valgus, communément appelé oignon du pied, est une déformation fréquente de l’avant-pied, touchant principalement les femmes. Elle se manifeste par une déviation du gros orteil vers l’extérieur, provoquant une bosse osseuse douloureuse sur le bord interne du pied. Progressivement, cette pathologie peut perturber la marche, compliquer le chaussage et impacter

Comment prévenir et ralentir l’évolution de l’hallux valgus ?
L’hallux valgus, plus communément appelé « oignon » du pied, est une déformation progressive du gros orteil, souvent douloureuse et inesthétique. Elle touche majoritairement les femmes (4 femmes pour un homme) et peut apparaître dès l’adolescence ou à l’âge adulte, et s’accentuer avec le temps si rien n’est fait pour ralentir les
Les bénéfices de la chirurgie mini-invasive du pied et les risques associés
Bénéfices :
- incisions limitées ;
- cicatrices discrètes ;
- récupération progressive ;
- reprise de la marche encadrée ;
- correction de la déformation dans le traitement de l’hallux valgus.
Risques possibles :
- infection ;
- œdème prolongé ;
- retard de cicatrisation ;
- raideur ;
- retard de consolidation osseuse.
Point important :
Le tabac augmente les risques de complications. Un arrêt avant et après l’intervention est fortement recommandé.